اكتئاب يكشف إصابة أمريكية بـ«السل المنتشر»
زوارنا ومتابعي موقعنا الكرام نقدم لكم أحدث واهم الأخبار في المقال : اكتئاب يكشف إصابة أمريكية بـ«السل المنتشر»
اكتشف أطباء في مستشفى ماساتشوستس العام التابع لجامعة هارفارد، إصابة أمريكية تبلغ من العمر 43 عاماً بمرض «السل المنتشر»، وهو أحد أكثر الأمراض فتكاً في العالم، ويصيب كل الجسم، وذلك بعد إدخالها إلى قسم الطب النفسي لمعاناتها الاكتئاب الحاد.
المرأة، التي لم يكشف عن هويتها، كانت تعاني منذ فترة اضطراب ثنائي القطب، وضغوط حياتية حادة شملت العنف المنزلي والمشكلات المالية، إضافة إلى صعوبات في الحصول على سكن مستقر.
وخلال الشهرين السابقين لدخولها المستشفى، بدأت تشكو من سعال جاف متكرر، قبل أن تتدهور حالتها التنفسية تدريجياً أثناء إقامتها في المستشفى، وفقاً لما نشرته صحيفة «ديلي ميل» البريطانية.
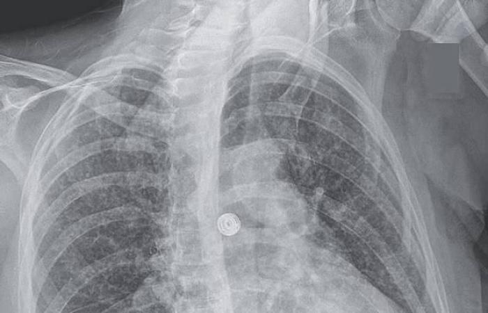
أظهرت الفحوص الشعاعية وجود عقيدات صغيرة منتشرة في الرئتين، إلى جانب آفات في الكبد والغدد اللمفاوية والبنكرياس والدماغ. وبعد 9 أسابيع، أكدت التحاليل المخبرية إصابتها ببكتيريا المتفطرة السلية المسببة لمرض السل، في شكل نادر يعرف بالسل المنتشر الذي يصيب أعضاء متعددة من الجسم.
وأشار الأطباء إلى أن إصابة المريضة بالسل ربما كانت عاملاً مساهماً في تفاقم حالتها النفسية، إذ تؤثر العدوى في إنتاج حمض التربتوفان الضروري لتكوين السيروتونين المسؤول عن تحسين المزاج.
قضت المرأة 33 يوماً في المستشفى لتلقي العلاج بالمضادات الحيوية والستيرويدات، إلى جانب الأدوية المضادة للفيروسات القهقرية. وأكملت علاج السل بنجاح.
